(+258) 84 34 12 360 - [SAÚDE OCUPACIONAL] - WHATSAPP

(+258) 84 30 00 013 - [CONSULTAS GERAIS] - WHATSAPP

(+258) 87 85 00 013 - [UGO - UROLO, GINECO, ORL] - WHATSAPP

(+258) 87 95 10 013 - [MARCAÇÃO DE EXAMES] - WHATSAPP

(+258) 87 95 30 013 - [MARCAÇÃO DE CIRURGIAS] - WHATSAPP

(+258) 87 52 20 013 - [PROJECTO ZÍPORA] - WHATSAPP

Saúde Ocupacional

 

 
A saúde ocupacional, também conhecida como saúde no trabalho ou medicina do trabalho, é um campo da saúde que se concentra na promoção e manutenção do bem-estar dos trabalhadores em seus ambientes de trabalho. Ela envolve a prevenção de doenças ocupacionais, lesões relacionadas ao trabalho e a promoção de condições de trabalho seguras e saudáveis.

 

 


AUDIOMETRIA

O objetivo principal da avaliação audiológica é determinar a integridade do sistema auditivo, além de identificar tipo, grau e configuração da perda auditiva em cada orelha.

 

Piano é um audiômetro clínico avançado com dois canais separados e independentes. Piano apresenta uma bateria completa de testes, todos facilmente gerenciados por meio de uma ampla tela colorida de toque.

 

 


ECG

Um eletrocardiograma é a reprodução gráfica da atividade elétrica do coração durante o seu funcionamento, registada a partir da superfície do corpo.

 

Quando precisar de uma análise e interpretação confiante do ECG, conte com o Sistema de ECG em repouso MACTM 3500.
O sistema MAC 3500 é ideal para análises básicas de ECG de 12 derivações.
Com o nosso avançado MarquetteTM 12SLTM ECG Analysis Programs, o MAC 3500 oferece a tecnologia de que necessita para suportar avaliações cardíacas fiáveis e precisas.

 

 


EEG

O EEG é um exame que analisa a atividade elétrica cerebral espontânea, captada através da utilização de eletrodos colocados sobre o couro cabeludo.

 

 


ESPIROMETRIA

Espirometria é um exame que mede a quantidade de ar que uma pessoa é capaz de inspirar ou expirar a cada vez que respira, ou seja, a quantidade de ar que um indivíduo é capaz de colocar para dentro e para fora dos pulmões e a velocidade com que o faz.

 

NOTA: A COOPMED usa um filtro para cada paciente para evitar contágio cruzado!

 

 


OFTALMOLOGIA

A oftalmologia é uma especialidade da medicina que estuda e trata as doenças relacionadas ao olho, à refração e aos olhos e seus anexos.

 

 


TESTE DE ESFORÇO

Para a avaliação ampla do funcionamento cardiovascular, quando submetido a esforço físico gradualmente crescente, em esteira rolante. São observados os sintomas, os comportamentos da frequência cardíaca, da pressão arterial e do eletrocardiograma antes, durante e após o esforço.

 

 


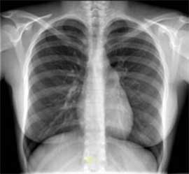
RAIO X DO TORAX

O raio-X do tórax, também conhecido como radiografia do tórax ou RX de tórax, é um exame de imagem médica que utiliza radiação ionizante para criar uma imagem das estruturas do tórax, incluindo os pulmões, o coração, as costelas, a coluna vertebral e os vasos sanguíneos. Esse exame é frequentemente utilizado para diagnosticar e monitorar diversas condições médicas e doenças relacionadas ao tórax.
 

 

VITALIS Clinica Médica

(+258) 84 30 00 013

(+258) 87 85 00 013

(+258) 87 95 10 013

(+258) 87 95 30 013

(+258) 87 52 20 013

Av. Emilía Daússe nº 148, Maputo

vitalisclinicamedica@vitalis.co.mz
Horário

ATENDIMENTO GERAL
Segunda a Sexta      08H - 16H

CIRURGIAS
Todos os dias por marcação
Marque uma Consulta

84 30 00 013

 

Siga - nos:

 

© Todos Direitos Reservados | Design by  AD
compraki mz